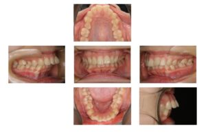
八重歯、でこぼこの改善〔表側矯正・福岡・天神〕
2026年4月22日
| 主訴 |
八重歯 前歯でかめない |
| 年齢 |
22歳 |
| 診断 |
叢生 |
| 治療内容 |
ラビアルブラケット装置 |
|
上顎左右4、下顎左右5抜歯 |
| 治療期間 |
2年6か月 |
| 費用 |
850,000円 |
| リスクと副作用 |
□歯肉、頬、舌および唇に、装置による擦り傷または痛みが生じる場合があります。 |
|
□ 歯の移動に伴い、圧痛を経験することがあります。 |
|
□ 前歯の移動においては歯根が吸収することがあります。 |
|
□ 歯の移動により歯肉が退縮することがあります。 |
|
□ 歯と骨が癒着を起こしており、歯が動かない場合があります。 |
|
□ 矯正治療中に歯の歯髄が壊死することがあります。 |



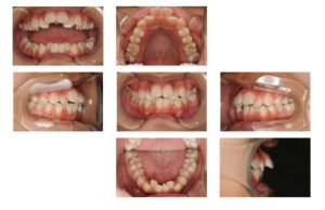
出っ歯、でこぼこの改善〔ハーフリンガル矯正・福岡・天神〕
2026年4月14日
| 主訴 |
上下のでこぼこ |
| 年齢 |
22歳 |
| 診断 |
上下顎前突 |
| 治療内容 |
ハーフリンガルブラケット装置 |
|
上顎左右4、下顎左右5抜歯 |
| 治療期間 |
2年9か月 |
| 費用 |
1,000,000円 |
| リスクと副作用 |
□歯肉、頬、舌および唇に、装置による擦り傷または痛みが生じる場合があります。 |
|
□ 歯の移動に伴い、圧痛を経験することがあります。 |
|
□ 前歯の移動においては歯根が吸収することがあります。 |
|
□ 歯の移動により歯肉が退縮することがあります。 |
|
□ 歯と骨が癒着を起こしており、歯が動かない場合があります。 |
|
□ 矯正治療中に歯の歯髄が壊死することがあります。 |



出っ歯の改善〔マウスピース型矯正装置・福岡・天神〕
2026年4月6日
| 主訴 |
前歯が出ている |
| 年齢 |
27歳 |
| 診断 |
上下顎前突 |
| 治療内容 |
マウスピース型矯正装置 |
|
上顎左右4、右下5、左下4抜歯 |
| 治療期間 |
2年10か月 |
| 費用 |
900,000円 |
| リスクと副作用 |
□歯肉、頬、舌および唇に、装置による擦り傷または痛みが生じる場合があります。 |
|
□ 歯の移動に伴い、圧痛を経験することがあります。 |
|
□ 前歯の移動においては歯根が吸収することがあります。 |
|
□ 歯の移動により歯肉が退縮することがあります。 |
|
□ 歯と骨が癒着を起こしており、歯が動かない場合があります。 |
|
□ 矯正治療中に歯の歯髄が壊死することがあります。 |



出っ歯の改善〔裏側矯正・福岡・天神〕
2026年4月6日
| 主訴 |
前歯が出ている |
| 年齢 |
23歳 |
| 診断 |
叢生 |
| 治療内容 |
フルリンガルブラケット |
|
上顎左右4、下顎左右5抜歯 |
| 治療期間 |
2年10か月 |
| 費用 |
1,150,000円 |
| リスクと副作用 |
□歯肉、頬、舌および唇に、装置による擦り傷または痛みが生じる場合があります。 |
|
□ 歯の移動に伴い、圧痛を経験することがあります。 |
|
□ 前歯の移動においては歯根が吸収することがあります。 |
|
□ 歯の移動により歯肉が退縮することがあります。 |
|
□ 歯と骨が癒着を起こしており、歯が動かない場合があります。 |
|
□ 矯正治療中に歯の歯髄が壊死することがあります。 |



八重歯、でこぼこの改善〔マウスピース型矯正装置・福岡・天神〕
2026年4月6日
| 主訴 |
八重歯 |
| 年齢 |
16歳 |
| 診断 |
叢生 |
| 治療内容 |
マウスピース型矯正装置 |
|
非抜歯 |
| 治療期間 |
2年6か月 |
| 費用 |
950,000円 |
| リスクと副作用 |
□歯肉、頬、舌および唇に、装置による擦り傷または痛みが生じる場合があります。 |
|
□ 歯の移動に伴い、圧痛を経験することがあります。 |
|
□ 前歯の移動においては歯根が吸収することがあります。 |
|
□ 歯の移動により歯肉が退縮することがあります。 |
|
□ 歯と骨が癒着を起こしており、歯が動かない場合があります。 |
|
□ 矯正治療中に歯の歯髄が壊死することがあります。 |



出っ歯、ガミースマイルの改善〔表側矯正・福岡・天神〕
2025年10月28日
| 主訴 |
前歯が出ている ガミースマイル |
| 年齢 |
19歳女性 |
| 診断名 |
上顎前突 |
| 治療内容 |
ラビアルブラケット |
| 抜歯部位 |
上顎左右4、左下5 |
| 治療期間 |
2年10か月 |
| 費用 |
935,000円 |
| リスクと副作用 |
□歯肉、頬、舌および唇に、装置による擦り傷または痛みが生じる場合があります。 |
|
□ 歯の移動に伴い、圧痛を経験することがあります。 |
|
□ 前歯の移動においては歯根が吸収することがあります。 |
|
□ 歯の移動により歯肉が退縮することがあります。 |
|
□ 歯と骨が癒着を起こしており、歯が動かない場合があります。 |
|
□ 矯正治療中に歯の歯髄が壊死することがあります。 |



出っ歯の改善〔ハーフリンガル矯正・福岡・天神〕
2025年10月21日
| 主訴 |
出っ歯 |
| 年齢 |
17歳 |
| 診断 |
上顎前突 |
| 治療内容 |
ハーフリンガルブラケット装置 |
|
上下左右4抜歯 |
| 治療期間 |
2年6か月 |
| 費用 |
850,000円 |
| リスクと副作用 |
□歯肉、頬、舌および唇に、装置による擦り傷または痛みが生じる場合があります。 |
|
□ 歯の移動に伴い、圧痛を経験することがあります。 |
|
□ 前歯の移動においては歯根が吸収することがあります。 |
|
□ 歯の移動により歯肉が退縮することがあります。 |
|
□ 歯と骨が癒着を起こしており、歯が動かない場合があります。 |
|
□ 矯正治療中に歯の歯髄が壊死することがあります。 |



すきっ歯の改善〔部分矯正・福岡・天神〕
2021年7月14日
| 主訴 |
すきっ歯 |
| 年齢 |
20歳 |
| 診断 |
空隙歯列 |
| 治療内容 |
部分矯正 |
|
非抜歯 |
| 治療期間 |
10か月 |
| 費用 |
550,000円 |
| リスクと副作用 |
□歯肉、頬、舌および唇に、装置による擦り傷または痛みが生じる場合があります。 |
|
□ 歯の移動に伴い、圧痛を経験することがあります。 |
|
□ 前歯の移動においては歯根が吸収することがあります。 |
|
□ 歯の移動により歯肉が退縮することがあります。 |
|
□ 歯と骨が癒着を起こしており、歯が動かない場合があります。 |
|
□ 矯正治療中に歯の歯髄が壊死することがあります。 |

出っ歯・でこぼこの改善〔マウスピース型矯正装置・福岡・天神〕
2021年7月4日
| 主訴 |
出っ歯 でこぼこ |
| 年齢 |
13歳 |
| 診断 |
過蓋咬合 |
| 治療内容 |
マウスピース型矯正装置 |
|
非抜歯 |
| 治療期間 |
1年2か月 |
| 費用 |
900,000円 |
| リスクと副作用 |
□歯肉、頬、舌および唇に、装置による擦り傷または痛みが生じる場合があります。 |
|
□ 歯の移動に伴い、圧痛を経験することがあります。 |
|
□ 前歯の移動においては歯根が吸収することがあります。 |
|
□ 歯の移動により歯肉が退縮することがあります。 |
|
□ 歯と骨が癒着を起こしており、歯が動かない場合があります。 |
|
□ 矯正治療中に歯の歯髄が壊死することがあります。 |

出っ歯の改善〔表側矯正・福岡・天神〕
2021年7月4日
| 主訴 |
出っ歯 |
| 年齢 |
17歳 |
| 診断 |
上顎前突 |
| 治療内容 |
ラビアルブラケット装置 |
|
上顎左右4、7、右下7抜歯 |
| 治療期間 |
2年6か月 |
| 費用 |
850,000円 |
| リスクと副作用 |
□歯肉、頬、舌および唇に、装置による擦り傷または痛みが生じる場合があります。 |
|
□ 歯の移動に伴い、圧痛を経験することがあります。 |
|
□ 前歯の移動においては歯根が吸収することがあります。 |
|
□ 歯の移動により歯肉が退縮することがあります。 |
|
□ 歯と骨が癒着を起こしており、歯が動かない場合があります。 |
|
□ 矯正治療中に歯の歯髄が壊死することがあります。 |

初診「個別」相談へのご案内
当院では、患者さんが抱えていらっしゃるお口のお悩みや疑問・不安などにお応えする機会を設けております。どんなことでも構いませんので、私たちにお話ししていただけたらと思います。
ご興味がある方は下記からお問い合わせください。